De volgende orthodontische noodgevallen en hun behandelingen worden hier weergegeven in volgorde van belangrijkheid. Enkel de meest dringende gevallen vergen een onmiddellijke behandeling door de orthodontist, de meeste zijn makkelijk (tijdelijk) op te lossen door de patiënt zelf.
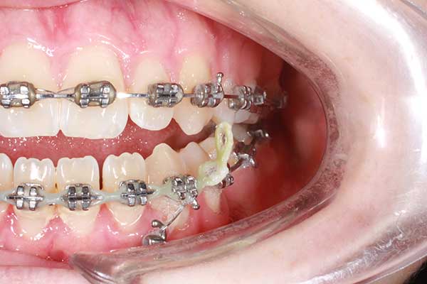
Op de foto vind je een overzicht van de onderdelen van een vast apparatuur of 'blokjesbeugel'.


In de meeste gevallen volstaat het de losse beugel uit te laten en contact op te nemen met de orthodontist.
Let wel, als de apparatuur (te) lange tijd niet gedragen wordt, kan het de pasvorm nadelig beïnvloeden, dus neem naar mogelijkheid zo spoedig mogelijk contact op met de orthodontist, zodat hij/zij kan bepalen wat er dient te gebeuren.
Voor ieder specifiek apparaat/beugel heb je zeker bepaalde aanwijzingen gekregen, indien je niet echt weet wat je moet doen, bel even naar de praktijk voor info.
Ook tijdens onze vakantie of tijdens congressen blijven we bereikbaar.
Telefoon tijdens de weekends en op feestdagen: +32 (0)70 22 20 88